Weten jullie nog dat ik een paar weken geleden heb geblogd over mijn dierenartsbezoek en dat er een gescheurde kruisband werd geconstateerd? Toen werd er verteld dat ik naar de specialist moest. Dat is afgelopen dinsdag gebeurd.
Mijn bazen en ik werden doorverwezen naar het Dierenziekenhuis in Gorinchem. Daar werken namelijk meer gespecialiseerde dierenartsen. Je kunt daar terecht voor bijvoorbeeld echografie, endoscopie, tandheelkunde en natuurlijk orthopedie.
Eerst moesten we op intake en werden er nog wat extra foto’s gemaakt om meer duidelijkheid te creëren. Een paar weken later vond de operatie plaats.
De dag van de operatie
Mijn bazen waren letterlijk aan het aftellen. Elke dag zeiden ze tegen mij dat we nog ‘zo veel’ dagen te gaan hadden. Eigenlijk had ik geen idee waar het over ging. Tot we op een dinsdagmorgen dus vroeg met de auto op pad gingen. Iets ongewoons, want mijn bazen hebben zelf geen auto. Ik vind met de auto weggaan leuk en naar de dierenarts gaan ook, dus al met al was het ongewone niet zo’n ramp.
Narcose
Toen we daar aankwamen, begroette de assistente (die achter de balie zat) mij en mijn bazen. Toen kwam de (in orthopedie gespecialiseerde) dierenarts ons halen en vroeg ons de spreekkamer binnen te komen. Ze was weer superaardig, zoals tijdens het maken van de foto’s. De dierenarts besprak wat dingen met mijn bazen en maakte een spuitje klaar. Dat zette ze vervolgens in mijn bil. “Oh, dat prikte een beetje…”. Vervolgens liepen we naar een andere kamer. Ik zag een ruimte met hokken waar honden in zaten. Dat was de opnamekamer, waar honden o.a. hun roesje kunnen uitslapen. De kattenopname-kamer zat in een andere ruimte. Ondertussen voelde ik me moe worden. “Maar ik wil helemaal niet slapen…” En ik was knockout!
Meekijken
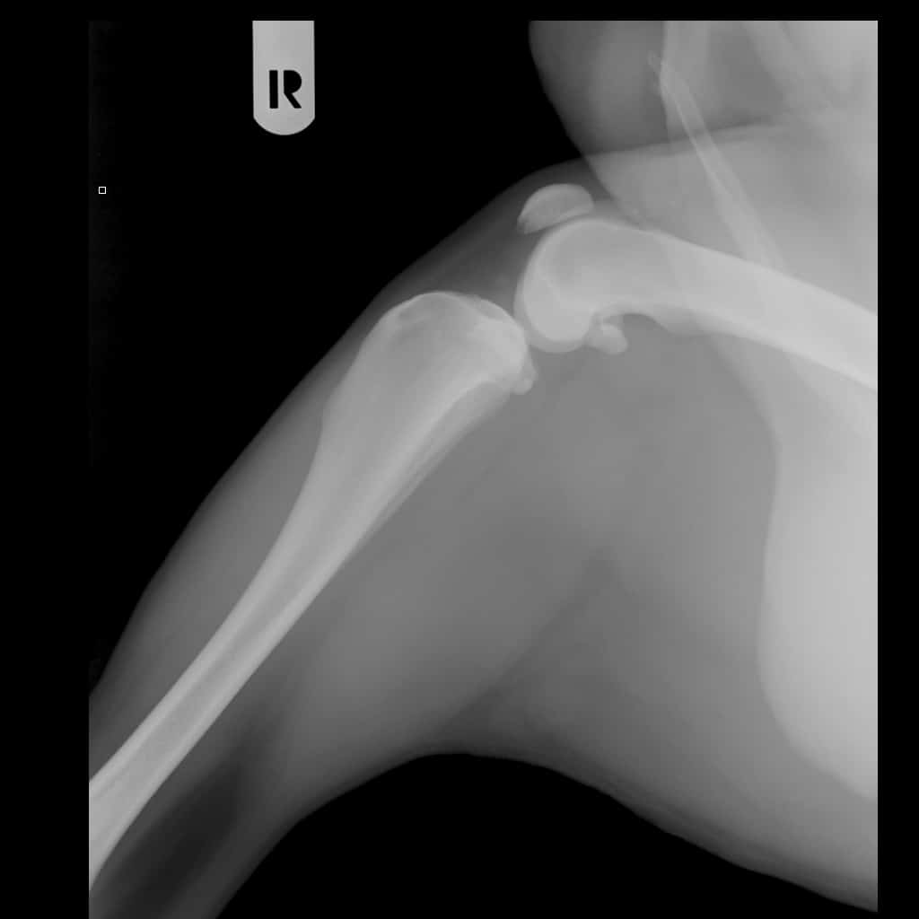
Ik heb dus een TTA-operatie aan mijn rechterknie ondergaan. TTA staat voor Tuberositas Tibae Advancement, dit betekent het naar voren plaatsen van de kam van het scheenbeen. Daarbij wordt er een titanium korf in de tibia (scheenbeen) geplaatst. Om die korf tussen mijn scheenbeen in te zetten, moest de dierenarts mijn bot eerst een stukje splijten. Dat deed ze met een speciale boor. Mijn bazin mocht tijdens de operatie meekijken. Niet alleen omdat dat fijn is voor mij, maar ook omdat zij de opleiding paraveterinair (dierenartsassistentie) doet. Zo’n operatie is dan superinteressant om te zien. Door mijn operatie heeft mijn bazin al kunnen proeven van het werk als paraveterinair en weet ze hoe het is om een (best heftige) operatie bij te wonen.
Pijn
Toen de operatie was afgelopen, werd er opnieuw een foto gemaakt, met de titanium korf in mijn been. Dat was best indrukwekkend. Bij het wakker worden keek ik in de bezorgde gezichten van mijn bazen. Ik had nog zoveel pijn en piepte alles bij elkaar. Ook toen we eenmaal thuis waren, bleef ik maar piepen… Ik vond het heel moeilijk om mijn behoefte te doen. Ik wilde buiten niet plassen met de druk van een handdoek onder mijn buik. Ook in de tuin wilde ik niet plassen, want dat doe ik nooit, en in huis wilde ik het al helemaal niet laten lopen. Mijn bazin zei steeds: “Beer, laat het maar komen, ik ruim het wel op. Je kan er toch niks aan doen, vriend.”
Wat ook grappig was, was dat ik hartstikke high was van de medicatie, mijn ogen stonden wijd opengesperd. Dat vonden mijn bazen dan vooral heel grappig. Ikzelf was compleet ergens anders met mijn gedachten. Volgens mijn baas was ik op de ‘eeuwige jachtvelden’. Als die zouden bestaan dan zou dat heel cool zijn.
Nazorg
De dag erna (woensdag) heb ik ‘s ochtends eindelijk een plasje kunnen doen. Dat luchtte op zeg! Mijn bazen waren heel blij en ook wel een beetje opgelucht. Want ze waren een beetje bang dat er iets mis was met mij. Het dierenziekenhuis belde mijn bazin op om te vragen hoe het ging. Dat vond mijn bazin heel attent. Daaruit bleek dat ze goede zorg verlenen – en dat doen ze zeker. Ze gaan heel zorgvuldig met de dieren om en praten zelfs tegen ze tijdens de operatie. Dat vond mijn bazin leuk om te horen. Er werd telkens gezegd dat ik het goed deed, maar daar had ik zelf geen idee van. :’)
Verder lag ik de hele ochtend te slapen. Ik moest toch dat narcosemiddel verwerken!
Ik at nog steeds niks, maar ik wilde wel water drinken, want dat had ik ook heel hard nodig.
Misselijk
Op donderdag ging het beduidend beter. Ik kon al wat gemakkelijker opstaan. Mijn Ruffwear schoenen hielpen daar ook bij. Mijn bazen waren supertrots. Wat wel opviel, is dat er een hele grote vochtophoping op mijn hiel hing. De dierenarts had mijn bazen daar al voor gewaarschuwd, dus daar waren ze niet ongerust over. Ik was nog wel misselijk van het narcosemiddel en moest daarom een keertje overgeven.
Vandaag (vrijdag) gaat het gelijk op aan de donderdag. Het dikke ei zit nog op mijn enkel en ik heb een keertje moeten overgeven. Heel jammer, maar het hoort er nu eenmaal bij.
Hopelijk gaat het herstellen me goed af. Mijn bazen zijn in ieder geval heel blij met hoe het tot nu toe gaat.
Ik hoop dat jullie het weer een leuke blog vonden!
Een poot van Beer
Gerelateerde artikelen
Tags
Weten jullie nog dat ik een paar weken geleden heb geblogd over mijn dierenartsbezoek en dat er een gescheurde kruisband werd geconstateerd? Toen werd er verteld dat ik naar de specialist moest. Dat is afgelopen dinsdag gebeurd.
Mijn bazen en ik werden doorverwezen naar het Dierenziekenhuis in Gorinchem. Daar werken namelijk meer gespecialiseerde dierenartsen. Je kunt daar terecht voor bijvoorbeeld echografie, endoscopie, tandheelkunde en natuurlijk orthopedie.
Eerst moesten we op intake en werden er nog wat extra foto’s gemaakt om meer duidelijkheid te creëren. Een paar weken later vond de operatie plaats.
De dag van de operatie
Mijn bazen waren letterlijk aan het aftellen. Elke dag zeiden ze tegen mij dat we nog ‘zo veel’ dagen te gaan hadden. Eigenlijk had ik geen idee waar het over ging. Tot we op een dinsdagmorgen dus vroeg met de auto op pad gingen. Iets ongewoons, want mijn bazen hebben zelf geen auto. Ik vind met de auto weggaan leuk en naar de dierenarts gaan ook, dus al met al was het ongewone niet zo’n ramp.
Narcose
Toen we daar aankwamen, begroette de assistente (die achter de balie zat) mij en mijn bazen. Toen kwam de (in orthopedie gespecialiseerde) dierenarts ons halen en vroeg ons de spreekkamer binnen te komen. Ze was weer superaardig, zoals tijdens het maken van de foto’s. De dierenarts besprak wat dingen met mijn bazen en maakte een spuitje klaar. Dat zette ze vervolgens in mijn bil. “Oh, dat prikte een beetje…”. Vervolgens liepen we naar een andere kamer. Ik zag een ruimte met hokken waar honden in zaten. Dat was de opnamekamer, waar honden o.a. hun roesje kunnen uitslapen. De kattenopname-kamer zat in een andere ruimte. Ondertussen voelde ik me moe worden. “Maar ik wil helemaal niet slapen…” En ik was knockout!
Meekijken
Ik heb dus een TTA-operatie aan mijn rechterknie ondergaan. TTA staat voor Tuberositas Tibae Advancement, dit betekent het naar voren plaatsen van de kam van het scheenbeen. Daarbij wordt er een titanium korf in de tibia (scheenbeen) geplaatst. Om die korf tussen mijn scheenbeen in te zetten, moest de dierenarts mijn bot eerst een stukje splijten. Dat deed ze met een speciale boor. Mijn bazin mocht tijdens de operatie meekijken. Niet alleen omdat dat fijn is voor mij, maar ook omdat zij de opleiding paraveterinair (dierenartsassistentie) doet. Zo’n operatie is dan superinteressant om te zien. Door mijn operatie heeft mijn bazin al kunnen proeven van het werk als paraveterinair en weet ze hoe het is om een (best heftige) operatie bij te wonen.
Pijn
Toen de operatie was afgelopen, werd er opnieuw een foto gemaakt, met de titanium korf in mijn been. Dat was best indrukwekkend. Bij het wakker worden keek ik in de bezorgde gezichten van mijn bazen. Ik had nog zoveel pijn en piepte alles bij elkaar. Ook toen we eenmaal thuis waren, bleef ik maar piepen… Ik vond het heel moeilijk om mijn behoefte te doen. Ik wilde buiten niet plassen met de druk van een handdoek onder mijn buik. Ook in de tuin wilde ik niet plassen, want dat doe ik nooit, en in huis wilde ik het al helemaal niet laten lopen. Mijn bazin zei steeds: “Beer, laat het maar komen, ik ruim het wel op. Je kan er toch niks aan doen, vriend.”
Wat ook grappig was, was dat ik hartstikke high was van de medicatie, mijn ogen stonden wijd opengesperd. Dat vonden mijn bazen dan vooral heel grappig. Ikzelf was compleet ergens anders met mijn gedachten. Volgens mijn baas was ik op de ‘eeuwige jachtvelden’. Als die zouden bestaan dan zou dat heel cool zijn.
Nazorg
De dag erna (woensdag) heb ik ‘s ochtends eindelijk een plasje kunnen doen. Dat luchtte op zeg! Mijn bazen waren heel blij en ook wel een beetje opgelucht. Want ze waren een beetje bang dat er iets mis was met mij. Het dierenziekenhuis belde mijn bazin op om te vragen hoe het ging. Dat vond mijn bazin heel attent. Daaruit bleek dat ze goede zorg verlenen – en dat doen ze zeker. Ze gaan heel zorgvuldig met de dieren om en praten zelfs tegen ze tijdens de operatie. Dat vond mijn bazin leuk om te horen. Er werd telkens gezegd dat ik het goed deed, maar daar had ik zelf geen idee van. :’)
Verder lag ik de hele ochtend te slapen. Ik moest toch dat narcosemiddel verwerken!
Ik at nog steeds niks, maar ik wilde wel water drinken, want dat had ik ook heel hard nodig.
Misselijk
Op donderdag ging het beduidend beter. Ik kon al wat gemakkelijker opstaan. Mijn Ruffwear schoenen hielpen daar ook bij. Mijn bazen waren supertrots. Wat wel opviel, is dat er een hele grote vochtophoping op mijn hiel hing. De dierenarts had mijn bazen daar al voor gewaarschuwd, dus daar waren ze niet ongerust over. Ik was nog wel misselijk van het narcosemiddel en moest daarom een keertje overgeven.
Vandaag (vrijdag) gaat het gelijk op aan de donderdag. Het dikke ei zit nog op mijn enkel en ik heb een keertje moeten overgeven. Heel jammer, maar het hoort er nu eenmaal bij.
Hopelijk gaat het herstellen me goed af. Mijn bazen zijn in ieder geval heel blij met hoe het tot nu toe gaat.
Ik hoop dat jullie het weer een leuke blog vonden!
Een poot van Beer
Gerelateerde artikelen
Terugblik op 2022Door: Yiska & Faf
Past een Akita Inu wel bij mij?Door: Redactie
Amerikaanse Akita: FafDoor: Yiska & Faf
Tags